Insémination Equine
Service d'insémination réfrigérée et congelée pour chevaux de sport et de loisirs.


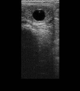
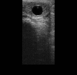
L'insémination réfrigérée
consiste à inséminer la jument avec de la semence prélevée 24 à 48h avant et conservée à 4 degrés pendant le transport.
La commande de la semence est alors effectuée par le vétérinaire inséminateur, en fonction de l'évolution échographique des follicules.
Insemination Congelée
Insemination congelée pour un choix supérieur de reproducteurs et meilleures chances de réussite.
Elle est pratiquée avec de la semence qui a été prélevée bien avant la saison de reproduction et est conservée dans de l'azote liquide sous forme de paillettes.
Ces paillettes sont disponibles dès la commande et stockées au centre d'insémination.
Elles permettent un choix d'étalons beaucoup plus large. Les étalons peuvent alors continuer plus facilement leur carrière sportive et de reproducteur. Certains étalons disparus sont encore disponibles également.


En confiant votre jument au centre d'insémination du Vernay, vous avez la garantie que tout sera mis en oeuvre pour la réussite de votre projet.
Nous proposons des forfaits "suivi gynécologique" et insémination adaptés à vos choix, n'hésitez pas à nous contacter pour établir un devis personnalisé.


Insémination Équine
Découvrez notre expertise en insemination réfrigérée et congelée.




Contactez-nous pour l'insémination
Pour toute question concernant l'insémination de vos chevaux, n'hésitez pas à nous contacter. Nous sommes là pour vous aider.
Contact
06 26 95 05 70
Aide
aa_grange@yahoo.fr
